
Sideroblastic anemia is a rare blood disorder that affects the body's ability to produce healthy red blood cells. This condition can lead to various symptoms, including fatigue, weakness, and pale skin. Understanding the intricacies of this disorder is crucial for those affected and their loved ones. In this blog post, we will delve into 50 fascinating facts about sideroblastic anemia, shedding light on its causes, symptoms, and treatment options. Whether you're a patient, caregiver, or simply curious, these insights will provide valuable knowledge about this complex condition. Ready to learn more about sideroblastic anemia? Let's get started!
Key Takeaways:
- Sideroblastic anemia is a rare blood disorder causing fatigue and pale skin. It can be inherited or acquired, and early diagnosis is crucial for effective treatment and management.
- Understanding the causes and symptoms of sideroblastic anemia is important for early detection and personalized treatment. Support from healthcare providers and loved ones is vital for managing daily life with this condition.
What is Sideroblastic Anemia?
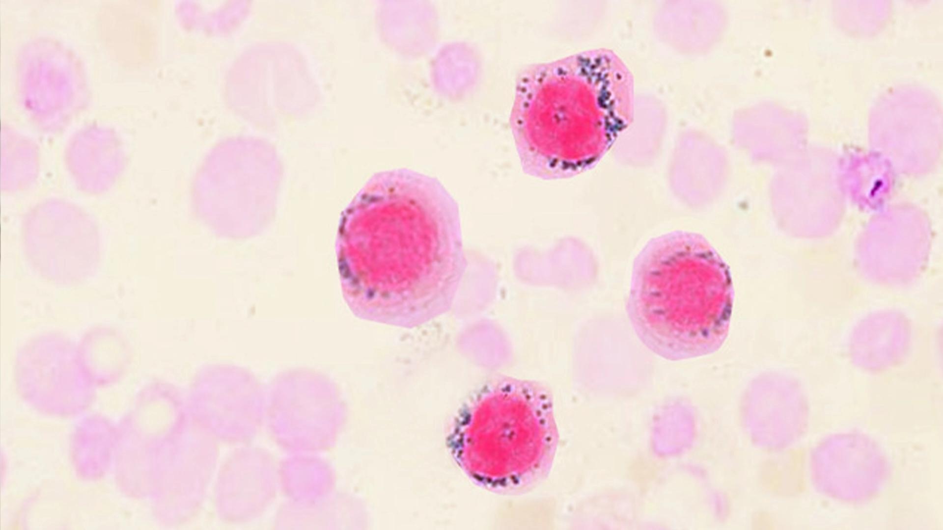
Sideroblastic anemia is a rare blood disorder where the bone marrow produces ringed sideroblasts rather than healthy red blood cells. These abnormal cells contain iron-loaded mitochondria arranged in a ring around the nucleus.
- Sideroblastic anemia can be inherited or acquired.
- The inherited form is often linked to genetic mutations.
- Acquired sideroblastic anemia may result from certain drugs or toxins.
- This condition can also be associated with other diseases like cancer or rheumatoid arthritis.
- Symptoms often include fatigue, weakness, and pale skin.
Causes of Sideroblastic Anemia
Understanding the causes helps in diagnosing and treating this condition effectively. Both genetic and environmental factors play a role.
- Mutations in the ALAS2 gene are a common cause of inherited sideroblastic anemia.
- Excessive alcohol consumption can lead to acquired sideroblastic anemia.
- Lead poisoning is another environmental cause.
- Certain medications, such as isoniazid, can trigger this condition.
- Copper deficiency has also been linked to sideroblastic anemia.
Symptoms and Diagnosis
Recognizing the symptoms early can lead to better management of the disease. Diagnosis often involves blood tests and bone marrow examination.
- Common symptoms include shortness of breath and dizziness.
- Some patients may experience heart palpitations.
- Blood tests often reveal low hemoglobin levels.
- A bone marrow biopsy can show ringed sideroblasts.
- Genetic testing may be used to identify mutations.
Treatment Options
Treatment varies depending on whether the anemia is inherited or acquired. Addressing the underlying cause is crucial.
- Vitamin B6 supplements can be effective for some patients.
- Blood transfusions may be necessary in severe cases.
- Chelation therapy helps remove excess iron from the body.
- Avoiding alcohol and certain medications can improve symptoms.
- In some cases, a bone marrow transplant may be considered.
Complications of Sideroblastic Anemia
If left untreated, sideroblastic anemia can lead to serious health issues. Monitoring and managing complications is essential.
- Iron overload can damage organs like the liver and heart.
- Patients may develop diabetes due to pancreatic damage.
- Heart failure is a potential risk.
- Some individuals may experience growth delays.
- Increased risk of infections due to a weakened immune system.
Living with Sideroblastic Anemia
Managing daily life with sideroblastic anemia involves regular medical care and lifestyle adjustments. Support from healthcare providers and loved ones is vital.
- Regular check-ups are important for monitoring iron levels.
- A balanced diet rich in vitamins and minerals can help.
- Physical activity should be tailored to individual energy levels.
- Emotional support and counseling can improve quality of life.
- Joining support groups can provide valuable resources and community.
Research and Future Directions
Ongoing research aims to better understand and treat sideroblastic anemia. Advances in genetics and medicine offer hope for improved outcomes.
- Gene therapy is being explored as a potential treatment.
- New medications are in development to target specific genetic mutations.
- Researchers are studying the role of mitochondria in this condition.
- Clinical trials are ongoing to test new therapies.
- Collaboration between scientists and clinicians is key to progress.
Interesting Facts
Here are some intriguing tidbits about sideroblastic anemia that highlight its complexity and the ongoing efforts to combat it.
- The term "sideroblastic" comes from the Greek word "sideros," meaning iron.
- Sideroblastic anemia was first described in the early 20th century.
- It is more common in males due to its link to the X chromosome.
- Some forms of the disease are responsive to high doses of vitamin B6.
- The condition can sometimes be mistaken for other types of anemia.
Famous Cases and Awareness
Raising awareness about sideroblastic anemia can lead to better diagnosis and treatment. Some notable cases have brought attention to this rare disorder.
- Public figures with the condition have helped raise awareness.
- Awareness campaigns aim to educate both the public and healthcare professionals.
- Rare Disease Day highlights conditions like sideroblastic anemia.
- Patient advocacy groups play a crucial role in supporting those affected.
- Increased awareness can lead to more funding for research.
Final Thoughts on Sideroblastic Anemia
Sideroblastic anemia is a complex condition that requires a multifaceted approach to treatment and management. Continued research and awareness are essential for improving patient outcomes.
Final Thoughts on Sideroblastic Anemia
Sideroblastic anemia, a rare blood disorder, affects the body's ability to produce healthy red blood cells. Understanding its causes, symptoms, and treatments is crucial for managing the condition. Genetic mutations, vitamin B6 deficiency, and certain medications can trigger this anemia. Symptoms like fatigue, weakness, and pale skin often signal the need for medical attention. Diagnosis involves blood tests, bone marrow exams, and genetic testing. Treatment options vary, including vitamin B6 supplements, blood transfusions, and medications to manage symptoms. Early detection and proper management can significantly improve the quality of life for those affected. Stay informed, consult healthcare professionals, and support research efforts to better understand and combat sideroblastic anemia. Knowledge empowers patients and caregivers to navigate this challenging condition with confidence and hope.
Frequently Asked Questions
Was this page helpful?
Our commitment to delivering trustworthy and engaging content is at the heart of what we do. Each fact on our site is contributed by real users like you, bringing a wealth of diverse insights and information. To ensure the highest standards of accuracy and reliability, our dedicated editors meticulously review each submission. This process guarantees that the facts we share are not only fascinating but also credible. Trust in our commitment to quality and authenticity as you explore and learn with us.