
What is a frenectomy? A frenectomy is a minor surgical procedure that removes or modifies a small fold of tissue called the frenulum. This tissue connects parts of the mouth, like the tongue to the floor or the upper lip to the gums. Why would someone need a frenectomy? It’s often done to improve speech, eating, or dental health. For babies, it can help with breastfeeding issues. Is it painful? The procedure is usually quick and done with local anesthesia, so pain is minimal. Recovery is also fast, making it a common choice for both children and adults.
What is a Frenectomy?
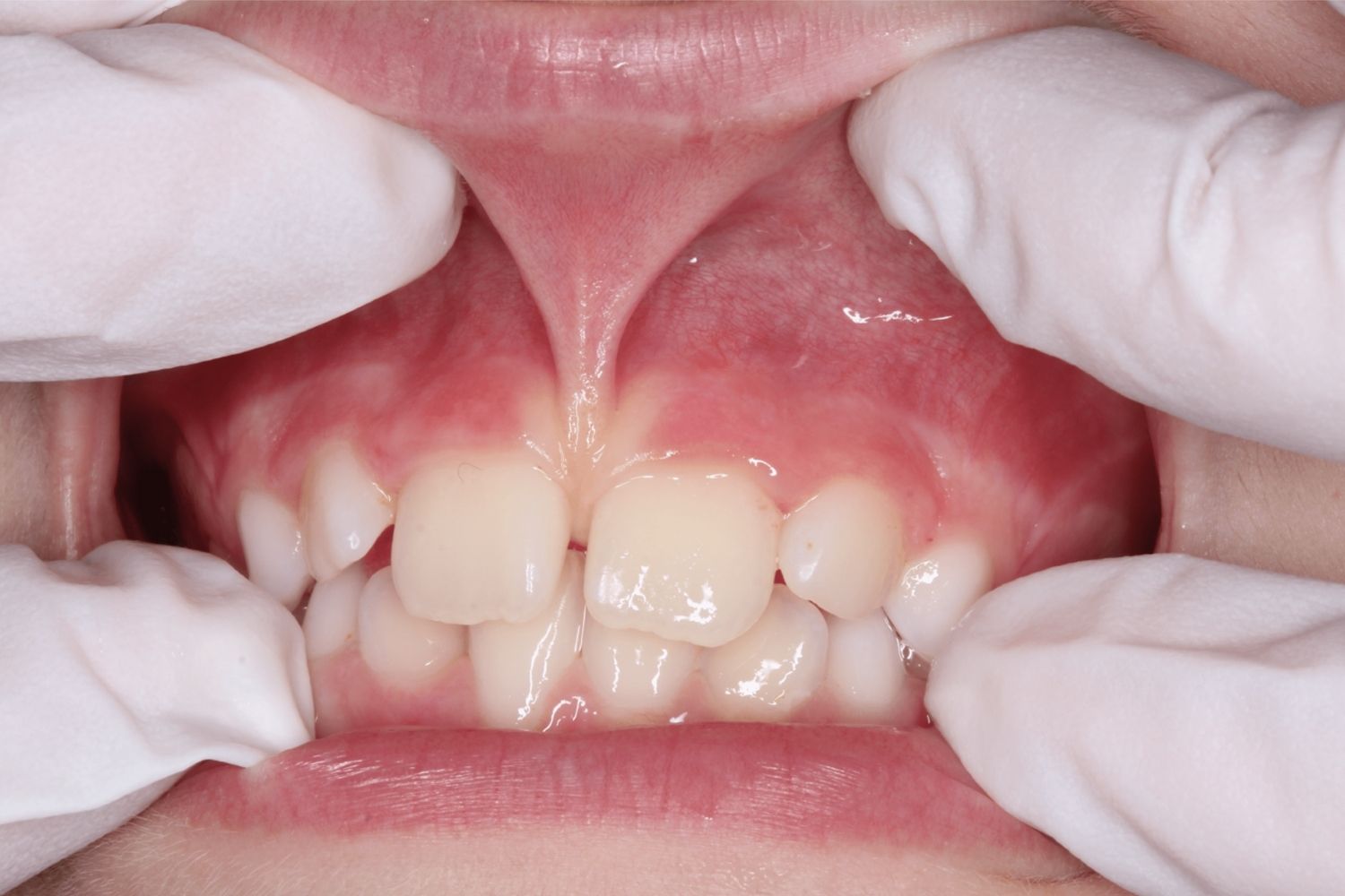
A frenectomy is a minor surgical procedure that involves removing or modifying a small fold of tissue called a frenum. This procedure can be performed in various parts of the body, but it is most commonly done in the mouth.
- A frenum is a small fold of tissue that connects the lips, cheeks, or tongue to the gums or floor of the mouth.
- Frenectomies are often performed to improve oral function, such as speech or eating.
- The procedure can be done using a scalpel, laser, or electrocautery.
- Frenectomies are typically quick, taking only about 15 to 30 minutes to complete.
- Local anesthesia is usually sufficient for this minor surgery.
- Recovery from a frenectomy is generally fast, with most people resuming normal activities within a few days.
Types of Frenectomy
There are different types of frenectomies depending on the location of the frenum. Each type addresses specific issues related to the frenum's position and function.
- A lingual frenectomy involves the removal of the frenum under the tongue, often to treat tongue-tie.
- A labial frenectomy removes the frenum connecting the upper or lower lip to the gums, which can help with orthodontic issues.
- A buccal frenectomy targets the frenum connecting the cheeks to the gums, which can sometimes cause discomfort or interfere with dentures.
- Frenectomies can also be performed on infants, children, and adults, depending on the need.
Reasons for a Frenectomy
Frenectomies are performed for various medical and dental reasons. Understanding these reasons can help in recognizing when this procedure might be necessary.
- Tongue-tie, or ankyloglossia, is a common reason for a lingual frenectomy, as it restricts tongue movement.
- A tight labial frenum can cause a gap between the front teeth, which may require a labial frenectomy.
- Speech difficulties can sometimes be resolved with a frenectomy, especially if the frenum restricts tongue or lip movement.
- Breastfeeding issues in infants, such as difficulty latching, can be improved with a frenectomy.
- Orthodontic treatments may require a frenectomy to prevent relapse of teeth alignment.
- Denture wearers may need a frenectomy if the frenum causes irritation or displacement of the dentures.
Benefits of a Frenectomy
A frenectomy can offer several benefits, particularly in improving oral function and overall quality of life.
- Improved speech clarity and articulation can result from a lingual frenectomy.
- Enhanced ability to eat and swallow comfortably is another benefit.
- Better oral hygiene, as a frenectomy can make it easier to clean teeth and gums.
- Reduced risk of dental issues, such as gum recession or tooth decay, due to improved oral hygiene.
- Increased comfort for denture wearers, as the procedure can eliminate frenum-related irritation.
- Improved breastfeeding for infants, leading to better nutrition and bonding with the mother.
Risks and Complications
Like any surgical procedure, a frenectomy carries some risks and potential complications. However, these are generally minimal and manageable.
- Bleeding is a common but usually minor risk associated with frenectomies.
- Infection is a rare complication but can occur if proper oral hygiene is not maintained.
- Pain and discomfort are typically mild and can be managed with over-the-counter pain relievers.
- Swelling and bruising may occur but usually subside within a few days.
- Scarring is minimal and often not noticeable, especially when performed by an experienced professional.
- In rare cases, there may be a need for additional surgery if the initial frenectomy does not fully resolve the issue.
Post-Operative Care
Proper care after a frenectomy is crucial for a smooth recovery and optimal results. Following these guidelines can help ensure a successful healing process.
- Keeping the surgical site clean is essential to prevent infection.
- Avoiding hard or crunchy foods for a few days can help minimize discomfort and promote healing.
- Using a saltwater rinse can aid in keeping the area clean and reducing swelling.
- Following the dentist or surgeon's instructions regarding pain management and activity restrictions is important for a quick recovery.
Final Thoughts on Frenectomy Facts
Frenectomies, though not widely discussed, play a crucial role in oral health. They can significantly improve speech, eating, and overall comfort. Understanding the procedure, its benefits, and potential risks helps in making informed decisions. Whether it's for a child struggling with tongue-tie or an adult facing gum issues, knowing these facts empowers you to seek the right treatment. Always consult with a dental professional to determine if a frenectomy is the best option for your specific needs. Remember, a small procedure can lead to significant improvements in quality of life. Stay informed, stay healthy, and don't hesitate to ask your dentist about frenectomies if you think it might help. Knowledge is power, especially when it comes to your health.
Was this page helpful?
Our commitment to delivering trustworthy and engaging content is at the heart of what we do. Each fact on our site is contributed by real users like you, bringing a wealth of diverse insights and information. To ensure the highest standards of accuracy and reliability, our dedicated editors meticulously review each submission. This process guarantees that the facts we share are not only fascinating but also credible. Trust in our commitment to quality and authenticity as you explore and learn with us.