
Spongy bone, also known as cancellous bone, might sound like something soft and squishy, but it's actually quite strong and essential for our bodies. Found at the ends of long bones and in the interiors of other bones, this type of bone has a unique, porous structure that makes it lightweight yet sturdy. Spongy bone plays a crucial role in producing blood cells and storing minerals. Its honeycomb-like network of trabeculae provides support and flexibility, helping bones withstand stress from various directions. Want to know more about this fascinating part of our skeleton? Here are 39 facts that will give you a deeper understanding of spongy bone and its importance in our bodies.
What is Spongy Bone?
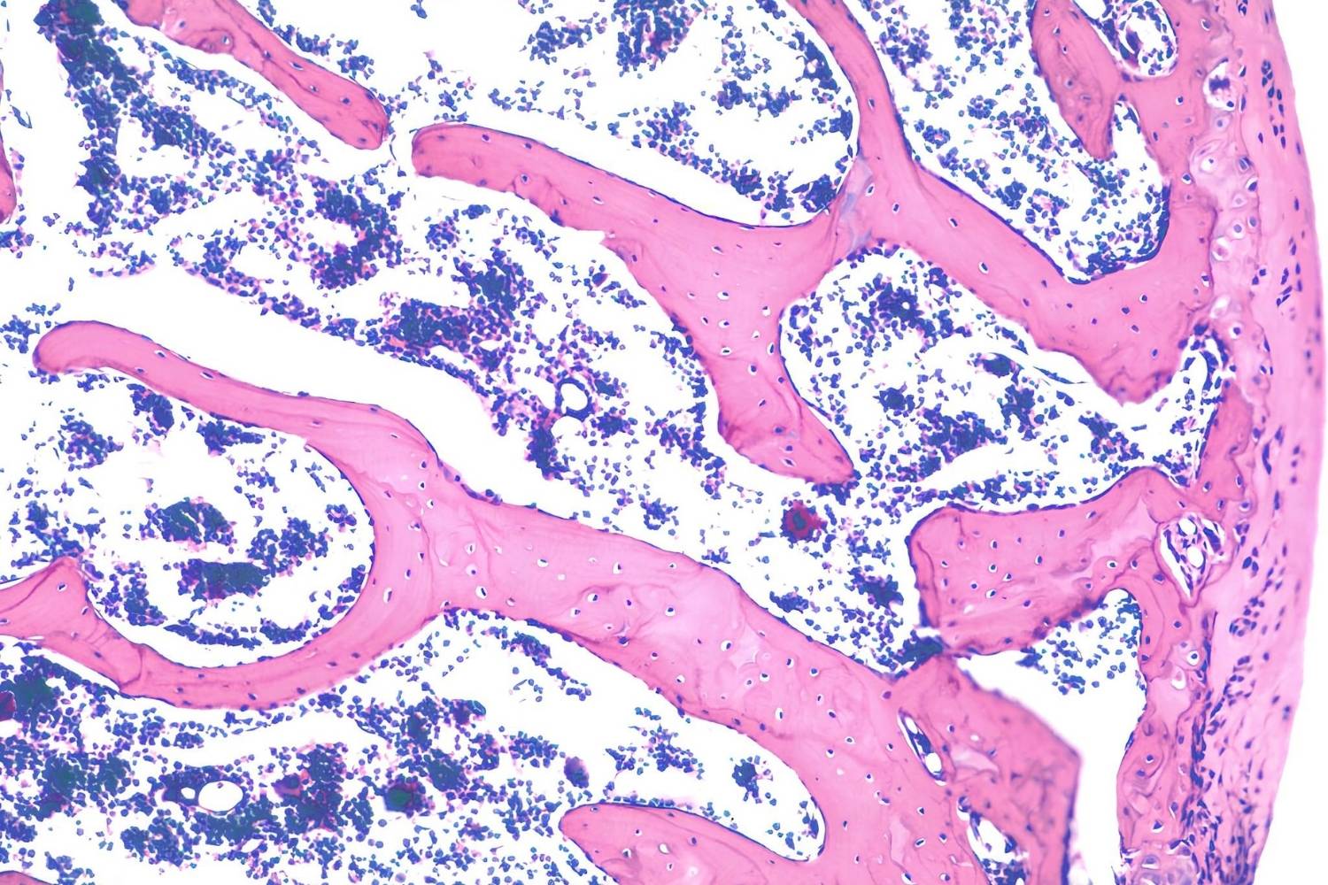
Spongy bone, also known as cancellous bone, is a type of bone tissue found at the ends of long bones and in the interior of other bones. Unlike the dense and solid compact bone, spongy bone has a porous, honeycomb-like structure. This unique architecture allows it to be lightweight yet strong, providing structural support and flexibility.
- Spongy bone is also called cancellous bone due to its lattice-like structure.
- It is found primarily at the ends of long bones, such as the femur and humerus.
- The porous nature of spongy bone makes it lighter than compact bone.
- It contains red bone marrow, which is responsible for producing blood cells.
- Spongy bone is highly vascularized, meaning it has a rich supply of blood vessels.
Structure of Spongy Bone
The structure of spongy bone is quite fascinating. It consists of a network of trabeculae, which are tiny, needle-like pieces of bone. These trabeculae form a meshwork that provides strength and flexibility.
- Trabeculae are the small, beam-like structures that make up spongy bone.
- The spaces between trabeculae are filled with bone marrow.
- Trabeculae are oriented along lines of stress to provide maximum strength.
- The arrangement of trabeculae can change in response to mechanical stress.
- Spongy bone has a higher surface area compared to compact bone, aiding in metabolic activities.
Functions of Spongy Bone
Spongy bone plays several crucial roles in the body. Its unique structure allows it to perform functions that are vital for overall health and well-being.
- It helps in the production of blood cells through the red bone marrow.
- Spongy bone acts as a shock absorber, protecting bones from fractures.
- It provides structural support while being lightweight.
- The porous nature allows for the storage of bone marrow.
- It aids in the regulation of calcium levels in the body.
Differences Between Spongy Bone and Compact Bone
While both spongy and compact bone are essential for the skeletal system, they have distinct differences in structure and function.
- Spongy bone is less dense than compact bone.
- Compact bone forms the outer layer of bones, while spongy bone is found inside.
- Spongy bone has a higher surface area due to its porous structure.
- Compact bone provides strength for weight-bearing, whereas spongy bone provides flexibility.
- Spongy bone contains red bone marrow, while compact bone contains yellow bone marrow.
Spongy Bone in Different Age Groups
The composition and function of spongy bone can vary depending on age. Understanding these differences is important for recognizing how bone health changes over time.
- In children, spongy bone is more active in producing blood cells.
- As people age, the amount of red bone marrow in spongy bone decreases.
- Elderly individuals may experience a reduction in bone density, affecting spongy bone.
- Osteoporosis primarily affects spongy bone, making it more prone to fractures.
- Maintaining a healthy diet and exercise can help preserve spongy bone health in older adults.
Spongy Bone and Bone Diseases
Several bone diseases specifically affect spongy bone, impacting its structure and function. Awareness of these conditions can aid in early diagnosis and treatment.
- Osteoporosis leads to a decrease in bone density, affecting spongy bone.
- Paget's disease causes abnormal bone remodeling, impacting spongy bone.
- Osteomyelitis is an infection that can affect the spongy bone.
- Bone cancer can originate in the spongy bone, leading to structural damage.
- Anemia can result from a decrease in red bone marrow within spongy bone.
Interesting Facts About Spongy Bone
Spongy bone has some unique and intriguing characteristics that set it apart from other types of bone tissue.
- Spongy bone can remodel itself in response to physical activity.
- It plays a crucial role in the body's immune response by producing white blood cells.
- The trabecular pattern of spongy bone is unique to each individual.
- Spongy bone can heal faster than compact bone due to its rich blood supply.
- It is more metabolically active than compact bone.
Spongy Bone in Animals
Spongy bone is not exclusive to humans; it is also found in many animals. Studying spongy bone in different species can provide insights into its evolutionary significance.
- Birds have a high proportion of spongy bone to keep their skeletons lightweight for flight.
- In mammals, spongy bone is crucial for supporting body weight and movement.
- Reptiles have spongy bone that aids in flexibility and shock absorption.
- Fish have spongy bone in their fins, providing structural support and flexibility.
The Marvel of Spongy Bone
Spongy bone, also known as cancellous bone, plays a crucial role in our skeletal system. It's not just a filler; it provides structural support, aids in the production of blood cells, and helps store essential minerals. Unlike dense, compact bone, spongy bone has a porous, honeycomb-like structure that makes it lightweight yet strong. This unique design allows it to absorb shock and reduce the weight of our skeleton, making movement easier.
Understanding spongy bone helps us appreciate the complexity and efficiency of our bodies. From its role in bone marrow production to its contribution to overall bone health, spongy bone is a vital component that often goes unnoticed. Next time you think about bones, remember the incredible functions of spongy bone. It’s a marvel of nature, working silently to keep us strong and healthy.
Was this page helpful?
Our commitment to delivering trustworthy and engaging content is at the heart of what we do. Each fact on our site is contributed by real users like you, bringing a wealth of diverse insights and information. To ensure the highest standards of accuracy and reliability, our dedicated editors meticulously review each submission. This process guarantees that the facts we share are not only fascinating but also credible. Trust in our commitment to quality and authenticity as you explore and learn with us.