
Cornification might sound like something related to corn, but it’s actually a fascinating process in biology. Cornification is the transformation of epithelial cells into a tough, protective layer. This process is crucial for forming our skin, hair, and nails. Without cornification, our bodies would be vulnerable to infections, dehydration, and physical damage. This natural armor shields us from the outside world, keeping harmful elements at bay. Ever wondered why your skin feels rough after a sunburn? That’s cornification in action, repairing and protecting damaged skin. Dive into these 37 intriguing facts about cornification and discover how this process keeps us safe every day.
What is Cornification?
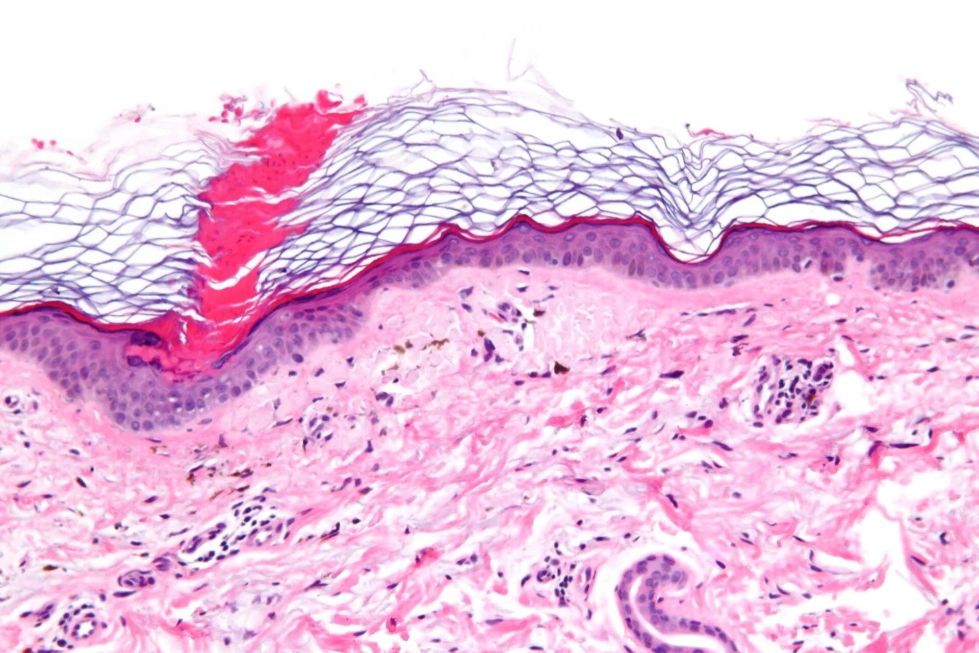
Cornification is a fascinating biological process where cells become hardened or keratinized. This transformation is crucial for forming protective barriers in various organisms, including humans. Let's dive into some intriguing facts about this process.
- 
Cornification occurs in the outermost layer of the skin, known as the epidermis. This layer acts as a shield against environmental damage. 
- 
The term "cornification" comes from the Latin word "cornu," meaning horn, reflecting the hard, protective nature of the process. 
- 
Keratin, a protein, plays a vital role in cornification. It provides strength and resilience to the cells. 
- 
Cornified cells are dead cells. They lose their nuclei and organelles during the process, becoming tough and waterproof. 
- 
This process is not limited to humans. Many animals, including reptiles and birds, undergo cornification to form scales, feathers, and beaks. 
- 
Cornification is essential for the formation of hair and nails in humans. Both structures are composed of keratinized cells. 
- 
The process helps prevent water loss from the body, maintaining hydration and protecting against dehydration. 
- 
Cornified cells form a barrier against pathogens, reducing the risk of infections. 
- 
The rate of cornification can vary depending on factors like age, genetics, and environmental conditions. 
- 
Psoriasis, a skin condition, involves an accelerated rate of cornification, leading to thick, scaly patches on the skin. 
The Science Behind Cornification
Understanding the science behind cornification reveals the complexity and importance of this process. Here are some scientific insights.
- 
Cornification involves a series of biochemical changes, including the production of keratins and other structural proteins. 
- 
Enzymes called transglutaminases play a crucial role in cross-linking proteins, making the cells tough and resistant. 
- 
Lipids, or fats, are also involved in cornification. They form a lipid barrier that enhances the waterproof nature of the skin. 
- 
The process is regulated by various signaling pathways, ensuring that it occurs in a controlled manner. 
- 
Cornified cells are eventually shed from the skin's surface in a process known as desquamation. 
- 
The entire cycle of skin cell production, cornification, and shedding takes about 28 days in humans. 
- 
Cornification is a form of programmed cell death, also known as apoptosis. This controlled cell death is essential for maintaining healthy skin. 
- 
Mutations in genes involved in cornification can lead to skin disorders, highlighting the importance of this process for skin health. 
- 
Research into cornification has led to the development of treatments for skin conditions like eczema and psoriasis. 
- 
Scientists are exploring ways to enhance cornification to improve wound healing and develop better skin care products. 
Cornification in Different Species
Cornification is not unique to humans. Various species have evolved this process to suit their specific needs. Let's explore how cornification manifests in different organisms.
- 
In reptiles, cornification leads to the formation of scales, providing protection and reducing water loss. 
- 
Birds undergo cornification to develop feathers, which are essential for flight and insulation. 
- 
Mammals, including humans, use cornification to form hair, nails, and the outer layer of the skin. 
- 
Amphibians, like frogs, have a less pronounced cornification process, as their skin needs to remain permeable for respiration. 
- 
Insects also undergo a form of cornification to produce their exoskeletons, which protect their bodies and provide structural support. 
- 
Fish scales are another example of cornification, offering protection and aiding in movement through water. 
- 
Some plants undergo a similar process called lignification, where cells become hardened with lignin, providing structural support. 
- 
Cornification in animals often involves the production of specialized proteins, like keratins, that differ between species. 
- 
The process can be influenced by environmental factors, such as humidity and temperature, affecting the rate and extent of cornification. 
- 
Studying cornification in different species helps scientists understand the evolutionary adaptations that have allowed organisms to thrive in diverse environments. 
Interesting Applications of Cornification
Cornification has practical applications in various fields, from medicine to cosmetics. Here are some interesting ways this process is utilized.
- 
In dermatology, understanding cornification helps develop treatments for skin conditions like acne, psoriasis, and eczema. 
- 
Cosmetic products often aim to enhance or mimic the effects of cornification, improving skin texture and appearance. 
- 
Researchers are exploring ways to use cornification to create better wound dressings that promote healing and protect against infection. 
- 
The process is also studied in the context of hair care, leading to the development of products that strengthen and protect hair. 
- 
In agriculture, understanding cornification in plants can lead to the development of crops with improved structural integrity and resistance to pests. 
- 
The study of cornification in animals has applications in veterinary medicine, helping to treat skin conditions in pets and livestock. 
- 
Advances in biotechnology are enabling scientists to manipulate cornification processes, potentially leading to new materials with unique properties. 
The Final Kernel
Cornification is more than just a fancy term. It’s a crucial process that keeps our skin tough and resilient. Without it, our bodies would be vulnerable to all sorts of external threats. From forming calluses to protecting against infections, cornification is a silent hero in our daily lives.
Understanding this process helps us appreciate the complexity of our skin. It’s not just a barrier; it’s a dynamic organ constantly working to keep us safe. Next time you notice a callus or dry skin, remember the incredible process behind it.
So, there you have it. Cornification might sound complex, but it’s a natural, essential part of our biology. Keep your skin healthy, and it’ll keep doing its job, thanks to cornification.
Was this page helpful?
Our commitment to delivering trustworthy and engaging content is at the heart of what we do. Each fact on our site is contributed by real users like you, bringing a wealth of diverse insights and information. To ensure the highest standards of accuracy and reliability, our dedicated editors meticulously review each submission. This process guarantees that the facts we share are not only fascinating but also credible. Trust in our commitment to quality and authenticity as you explore and learn with us.
 
                             
									